Sağlık Rehberi
Doktor kontrolünde, PubMed destekli sağlık bilgisi(38 makale)

Düğme İliği Deformitesi Tedavisi
Boutonniere (Düğme İliği) Deformitesi Parmağı açan kirişin parmağın orta eklemi düzeyinde yırtılması ve parmağın alt yüzüne doğru kayması sonucunda...

Down Sendromu Nedir?
Down Sendromu Nedir? Down sendromu; insan kromozomları ile ilgili hastalıklar arasında en sık görülenidir. İnsan vücudundaki hücrelerde genler 23...
Dudak Kanseri Tedavisi
Dudak Kanseri Nedir? Dudaklar ağız boşluğunun ön sınırını oluştururlar. Ağızdaki sıvıların dışarı dökülmesinin önlenmesinde, çiğneme, yutma ve...

Doğuştan Kalp Hastalıkları 2
Doğuştan Kalp Hastalıkları Nelerdir? Normal kalp yumruktan biraz daha büyük, kas yapısında güçlü bir pompadır. Kalbin dört odacığı vardır. Üstteki...

Doğum Lekeleri Nasıl Gider?
Doğum Lekeleri Nelerdir, Çeşitleri Doğum lekeleri, bebek doğduğunda veya doğduktan birkaç hafta sonra fark edilen lekelerdir. Birçok deri lekesi...

Diyaliz Tedavisi
Diyaliz Tedavisi Diyaliz, böbrek yetmezliği olan hastalarda vücutta biriken atık maddelerin ve fazla suyun uzaklaştırılması ile vücudun bozulmuş...

Divertikül Nedir?
Divertikül, Divertikülozis Nedir? Kalın bağırsak gibi içi boş organlarda organın içini döşeyen tabakanın dış tabakalardaki zayıf noktalardan dışarı...

Diş Kırılması Neden Olur ?
Diş Kırılması Yaklaşık olarak her beş çocuktan biri acil tedavi gerektiren ağız – yüz bölgesi yaralanması geçirmektedir. Beş yaş grubu...

Diş Rengi Beyazlatma
Dişlerdeki Renk Değişiklikleri Dişlerdeki renk değişikliklerinin nedenleri çeşitlidir. A- Diş Kökenli Renklenmeler: Dişin dış yüzeyinde lokalize...

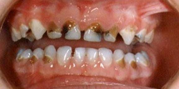
Diş Çürüğü Başlangıcı
DİŞ Çürükleri Diş çürüğü; Ağız ortamında bulunan bakterilerin şekerli yapılan (karbohidratları) parçalaması sonucu ortaya çıkan asitlerin diş...

Dişlerimiz ve Ağız Sağlığı
Dişlerimiz ve Ağız Sağlığı Dişler süt dişleri (dentes decidue) ve daimi dişler (dentes permanentes) olmak üzere iki gruptur. Süt dişleri bebek...

Dispepsi (Sindirim Güçlüğü)
Dispepsi (Sindirim Güçlüğü, Hazımsızlık) Karnın üst ve orta bölümünde tekrar edici ve ısrarcı rahatsızlık hissi olarak tanımlanır. Yaş Her yaşta...