Sağlık Rehberi
"#sarkoidoz" etiketli 17 makale(17 makale)

Dalak Büyümesi (Çocuk)
Dalak Büyümesi (Splenomegali) (Çocukta) Karın muayenesi sırasında sol kaburga altında ele gelebilir ya da tomografi gibi görüntüleme yöntemleriyle...

Sarkoidoz Hastalığı Tedavisi
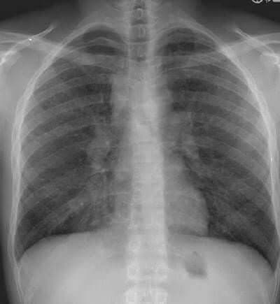
Genetik eğilim yönü olan, müzmin karakterli ve iltihabi türde bir hastalıktır. 100 yılı aşkın bir süredir bilinmektedir. En sık akciğer olmak üzere...

Karaciğer Büyümesi (Erişkin)
Karaciğer Büyümesi (Erişkin) : Hepatomegali; karaciğerin normal boyutlarının dışına çıkarak büyümesi durumudur. Yaş: Belirgin bir yaş dağılımı...

Karaciğer Büyümesi (Çocuk)
Karaciğer Büyümesi (Çocukta) Karaciğer Büyümesi (Hepatomegali); Yeni doğan döneminden yaşlılık dönemine kadar her yaşta görülebilen bir bulgudur....

Dalak Büyümesi (Erişkin)
Dalak Büyümesi (Splenomegali) (Erişkin) Dalak; lenfatik ve immün sistemin bir parçasıdır. Doğrudan doğruya bir hastalık değil, pek çok sistemik...

Akciğer Nakli Nasıl Yapılır
Akciğer Nakli Hastalıklı akciğerlerin bir yada her ikisinin, alıcı bireylerden alınan sağlıklı akciğerlerle değiştirilmesidir. Akciğer yetmezliği...
Prolaktin (PRL)
Klinik kullanımı Galaktore (uygunsuz laktasyon) nin değerlendirilmesinde başlıca testtir. Hipofiz fonksiyon testi; galaktoreli veya galaktoresiz...
Paratiroid Hormon (PTH)
Klinik kullanımı PTH, hipokalsemiye cevap olarak paratroid bezi tarafından salınır. Başlıca görevi serum total Ca seviyesini 8.9-10.1 mg/dL arasında...
Lökosit Alkalen Fosfataz (LAP, LAP Skoru, LAPA, Nötrofil Alkalen Fosfataz)
Klinik kullanımı LAP olgun nötrofillerin sekonder granüllerinde normalde bulunur. KML (Kronik myeloid lösemi) ve myelodisplazi ile lökomoid...
Kalsiyum (Ca), (İdrar)
Klinik kullanımı : Kalsiyum metabolizmasının değerlendirilmesinde kullanılır. İdrara aşırı veya baskılanmış kalsiyum atılımını gösterir. (örn.:...
Kalsiyum (Ca) (Serum)
Klinik kullanımı : Paratiroid fonksiyonunu ve kalsiyum metabolizmasını değerlendirmek için kullanılır. Serum kalsiyum tayini, böbrek yetmezliği,...
İmmünglobulin M (Ig M)
Klinik kullanımı : Bakteri ve viruslara karşı üretilen ilk antikorlardır. Referans değerler(mg/ dl) Serum <1 ay……………….20-80 7-12 ay………………..35-150...